
Zhang Lab
We’re hiring! Visit the Contact page to learn more about joining our team.
Biomaterials & Tissue Regeneration Lab
We are a biomedical engineering lab interested in how materials and drug delivery systems can be used to treat inflammatory diseases and promote tissue repair. We also explore how inflammation in one organ—like the gut—can influence other systems such as the joints, skin, or nervous system. We combine materials science, disease pathology, and translational thinking to design solutions that may one day help patients.

Engineered hydrogel designed for targeted drug delivery to inflamed colon tissue in mice with colitis.

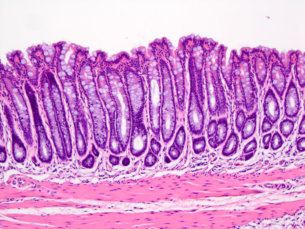
Histology of colon tissue from mice with colitis after treatment with dexamethasone-loaded hydrogel shows reduced inflammation and improved tissue architecture.

Histology of colon tissue from mice with colitis after treatment with free dexamethasone shows limited improvement compared to hydrogel-based delivery.

Engineered hydrogel designed for targeted drug delivery to inflamed colon tissue in mice with colitis.
We’re hiring!
Visit the Contact page to learn more about joining our team.